Skip to content

Call Now: 608-356-6611 or 800-362-1224

Dental Associates of Baraboo
Your Dentist Specializing in Cosmetic, Family, and Implant Dentistry
Dental Associates of BarabooDental Associates of Baraboo
  • Home
  • About Us
    • Meet The Doctors
    • Office Tour
  • New Patients
    • Before And After
    • Dental FAQs
    • Financial Information
    • Patient Forms
    • Your First Visit
  • Dental Services
    • Cosmetic Dentistry
      • Dental Bonding
      • Smile Makeovers
      • Teeth Whitening Trays
      • Teeth Whitening with Opalescence Go
      • Teeth Whitening With Venus
      • Veneers
    • Endodontic Treatment
      • Cracked Teeth
      • Internal Bleaching
      • Post & Core
      • Pulp Regeneration
      • Root Canal Therapy
      • Root Canal Retreatment
      • Root Resorption
      • Traumatic Injuries
      • Vital Pulp Therapy / Pulpotomy
    • General Dentistry
      • Dental Bridge
      • Dental Cleanings
      • Dental Crowns
      • Digital Impressions
      • Dental Sealants
      • Enamel Shaping
      • Fillings
      • Fluoride Treatments
      • Lingual Frenectomy
      • Mercury Safe And Mercury Free
      • Neuromuscular Dentistry For TMD Relief
      • Occlusal Disease Treatment
      • Prophylaxis Teeth Cleaning
      • Sleep Apnea
      • Snoring
      • Tooth-Colored Fillings
      • Tooth Perforation Repair
    • Oral Surgery
      • Tooth Extractions
      • Wisdom Teeth Removal
    • Orthodontic Treatment
      • Clear Aligners
      • Orthodontic Mouthguards
      • Retention
      • Invisalign
    • Pediatric Dentistry
      • BPA-Free Tooth-Colored Fillings
      • Nitrous Oxide For Children
      • Pit And Fissure Sealant
      • Space Maintainer
    • Periodontal Care
      • Arestin
      • Gingivectomy
      • Gum Contouring & Reshaping
      • Gum Grafting
      • Laser Therapy
      • Periodontal Cleaning
      • Periodontal Splint
      • Scaling And Root Planing
    • Preventive Dentistry
      • Custom Mouthguard
      • Occlusal Night Guards
      • Oral Cancer Screenings
      • Silver Diamine Fluoride
      • Sonicare Toothbrush
    • Prosthodontics
      • Dental Implants
      • Flippers And Removable Partial Dentures
      • Full and Partial Dentures
      • Hybrid Prosthesis
      • Implant Restoration
      • Implant-Retained Dentures
      • Implant-Retained Partials
  • Technology
    • Cone Beam 3D Imaging
    • Digital X-Rays
    • Intraoral Camera Technology
    • Laser Therapy
    • Ultrasonics
    • Teeth Whitening Trays
    • Teeth Whitening With Opalescence Go
    • Teeth Whitening With Venus
  • Reviews
  • Blog
  • Contact Us
Paschen Orthodontics
  • Home
  • About Us
    • Meet The Doctors
    • Office Tour
  • New Patients
    • Before And After
    • Dental FAQs
    • Financial Information
    • Patient Forms
    • Your First Visit
  • Dental Services
    • Cosmetic Dentistry
      • Dental Bonding
      • Smile Makeovers
      • Teeth Whitening Trays
      • Teeth Whitening with Opalescence Go
      • Teeth Whitening With Venus
      • Veneers
    • Endodontic Treatment
      • Cracked Teeth
      • Internal Bleaching
      • Post & Core
      • Pulp Regeneration
      • Root Canal Therapy
      • Root Canal Retreatment
      • Root Resorption
      • Traumatic Injuries
      • Vital Pulp Therapy / Pulpotomy
    • General Dentistry
      • Dental Bridge
      • Dental Cleanings
      • Dental Crowns
      • Digital Impressions
      • Dental Sealants
      • Enamel Shaping
      • Fillings
      • Fluoride Treatments
      • Lingual Frenectomy
      • Mercury Safe And Mercury Free
      • Neuromuscular Dentistry For TMD Relief
      • Occlusal Disease Treatment
      • Prophylaxis Teeth Cleaning
      • Sleep Apnea
      • Snoring
      • Tooth-Colored Fillings
      • Tooth Perforation Repair
    • Oral Surgery
      • Tooth Extractions
      • Wisdom Teeth Removal
    • Orthodontic Treatment
      • Clear Aligners
      • Orthodontic Mouthguards
      • Retention
      • Invisalign
    • Pediatric Dentistry
      • BPA-Free Tooth-Colored Fillings
      • Nitrous Oxide For Children
      • Pit And Fissure Sealant
      • Space Maintainer
    • Periodontal Care
      • Arestin
      • Gingivectomy
      • Gum Contouring & Reshaping
      • Gum Grafting
      • Laser Therapy
      • Periodontal Cleaning
      • Periodontal Splint
      • Scaling And Root Planing
    • Preventive Dentistry
      • Custom Mouthguard
      • Occlusal Night Guards
      • Oral Cancer Screenings
      • Silver Diamine Fluoride
      • Sonicare Toothbrush
    • Prosthodontics
      • Dental Implants
      • Flippers And Removable Partial Dentures
      • Full and Partial Dentures
      • Hybrid Prosthesis
      • Implant Restoration
      • Implant-Retained Dentures
      • Implant-Retained Partials
  • Technology
    • Cone Beam 3D Imaging
    • Digital X-Rays
    • Intraoral Camera Technology
    • Laser Therapy
    • Ultrasonics
    • Teeth Whitening Trays
    • Teeth Whitening With Opalescence Go
    • Teeth Whitening With Venus
  • Reviews
  • Blog
  • Contact Us

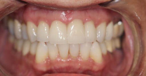
Before And After

You are here:
  1. Home
  2. New Patients
  3. Before And After

Call Us Today!
608-356-6611 or 800-362-1224

New Patients
  • Before And After
  • Dental FAQs
  • Financial Information
  • Patient Forms
  • Your First Visit
About Our Practice
  • Meet The Doctors
  • Office Tour
Quick Links
  • Meet The Doctors
  • Office Tour
  • Contact Us
New Patients
  • Before And After
  • Dental FAQs
  • Financial Information
  • Patient Forms
Contact Us

608-356-6611 or 800-362-1224
880 14th Street
Baraboo, Wisconsin 53913

Hours of Operation

Monday: 7:00 am – 7:00 pm
Tuesday: 7:00 am – 7:00 pm
Wednesday: 7:00 am – 7:00 pm
Thursday: 7:00 am – 7:00 pm
Friday: 8:00 am – 2:00 pm

Dental Associates of Baraboo
Copyright Dental Associates Of Baraboo | Dental Websites by My Social Practice | HIPAA Notice of Privacy Practice | Accessibility Notice
Go to Top